Barotrauma In Mechanical Ventilation . Web there is no single strategy to prevent pulmonary barotrauma on patients on mechanical ventilation. The most efficient mechanism that. Web pulmonary barotrauma was the most common complication of mechanical ventilation, but modern strategies have. Web pulmonary barotrauma can complicate mechanical ventilation. It is most often due to alveolar rupture resulting in. Web pulmonary barotrauma is a complication of mechanical ventilation and has correlations with increased morbidity.
from www.criticalcarepractitioner.co.uk
Web pulmonary barotrauma is a complication of mechanical ventilation and has correlations with increased morbidity. The most efficient mechanism that. Web pulmonary barotrauma was the most common complication of mechanical ventilation, but modern strategies have. Web there is no single strategy to prevent pulmonary barotrauma on patients on mechanical ventilation. Web pulmonary barotrauma can complicate mechanical ventilation. It is most often due to alveolar rupture resulting in.
Vili2 Critical Care Practitioner
Barotrauma In Mechanical Ventilation Web there is no single strategy to prevent pulmonary barotrauma on patients on mechanical ventilation. Web there is no single strategy to prevent pulmonary barotrauma on patients on mechanical ventilation. The most efficient mechanism that. It is most often due to alveolar rupture resulting in. Web pulmonary barotrauma is a complication of mechanical ventilation and has correlations with increased morbidity. Web pulmonary barotrauma was the most common complication of mechanical ventilation, but modern strategies have. Web pulmonary barotrauma can complicate mechanical ventilation.
From slidetodoc.com
Basic Concepts of Mechanical Ventilation Sang Heon Park Barotrauma In Mechanical Ventilation It is most often due to alveolar rupture resulting in. Web pulmonary barotrauma can complicate mechanical ventilation. Web pulmonary barotrauma was the most common complication of mechanical ventilation, but modern strategies have. The most efficient mechanism that. Web pulmonary barotrauma is a complication of mechanical ventilation and has correlations with increased morbidity. Web there is no single strategy to prevent. Barotrauma In Mechanical Ventilation.
From www.criticalcarepractitioner.co.uk
Vili2 Critical Care Practitioner Barotrauma In Mechanical Ventilation Web pulmonary barotrauma was the most common complication of mechanical ventilation, but modern strategies have. It is most often due to alveolar rupture resulting in. Web pulmonary barotrauma can complicate mechanical ventilation. Web there is no single strategy to prevent pulmonary barotrauma on patients on mechanical ventilation. Web pulmonary barotrauma is a complication of mechanical ventilation and has correlations with. Barotrauma In Mechanical Ventilation.
From www.academia.edu
(PDF) Incidence of Barotrauma in Patients With COVID19 Pneumonia Barotrauma In Mechanical Ventilation Web pulmonary barotrauma can complicate mechanical ventilation. It is most often due to alveolar rupture resulting in. Web pulmonary barotrauma is a complication of mechanical ventilation and has correlations with increased morbidity. Web pulmonary barotrauma was the most common complication of mechanical ventilation, but modern strategies have. Web there is no single strategy to prevent pulmonary barotrauma on patients on. Barotrauma In Mechanical Ventilation.
From nccommons.org
Barotrauma due to mechanical ventilation (Radiopaedia 2807928336 Axial Barotrauma In Mechanical Ventilation Web there is no single strategy to prevent pulmonary barotrauma on patients on mechanical ventilation. Web pulmonary barotrauma is a complication of mechanical ventilation and has correlations with increased morbidity. It is most often due to alveolar rupture resulting in. The most efficient mechanism that. Web pulmonary barotrauma was the most common complication of mechanical ventilation, but modern strategies have.. Barotrauma In Mechanical Ventilation.
From www.slideserve.com
PPT Complications of Mechanical Ventilation PowerPoint Presentation Barotrauma In Mechanical Ventilation Web there is no single strategy to prevent pulmonary barotrauma on patients on mechanical ventilation. Web pulmonary barotrauma was the most common complication of mechanical ventilation, but modern strategies have. It is most often due to alveolar rupture resulting in. The most efficient mechanism that. Web pulmonary barotrauma is a complication of mechanical ventilation and has correlations with increased morbidity.. Barotrauma In Mechanical Ventilation.
From www.researchgate.net
(PDF) Pulmonary Barotrauma Resulting from Mechanical Ventilation in 2 Barotrauma In Mechanical Ventilation It is most often due to alveolar rupture resulting in. Web pulmonary barotrauma is a complication of mechanical ventilation and has correlations with increased morbidity. Web pulmonary barotrauma was the most common complication of mechanical ventilation, but modern strategies have. The most efficient mechanism that. Web there is no single strategy to prevent pulmonary barotrauma on patients on mechanical ventilation.. Barotrauma In Mechanical Ventilation.
From nccommons.org
Barotrauma due to mechanical ventilation (Radiopaedia 2807928336 Barotrauma In Mechanical Ventilation The most efficient mechanism that. Web there is no single strategy to prevent pulmonary barotrauma on patients on mechanical ventilation. It is most often due to alveolar rupture resulting in. Web pulmonary barotrauma is a complication of mechanical ventilation and has correlations with increased morbidity. Web pulmonary barotrauma was the most common complication of mechanical ventilation, but modern strategies have.. Barotrauma In Mechanical Ventilation.
From www.annsaudimed.net
Pulmonary Barotrauma Associated with Intermittent Positive Pressure Barotrauma In Mechanical Ventilation Web pulmonary barotrauma was the most common complication of mechanical ventilation, but modern strategies have. The most efficient mechanism that. Web pulmonary barotrauma is a complication of mechanical ventilation and has correlations with increased morbidity. Web pulmonary barotrauma can complicate mechanical ventilation. Web there is no single strategy to prevent pulmonary barotrauma on patients on mechanical ventilation. It is most. Barotrauma In Mechanical Ventilation.
From www.scribd.com
Diagnosis, Management, and Prevention of Pulmonary Barotrauma During Barotrauma In Mechanical Ventilation The most efficient mechanism that. Web pulmonary barotrauma is a complication of mechanical ventilation and has correlations with increased morbidity. It is most often due to alveolar rupture resulting in. Web there is no single strategy to prevent pulmonary barotrauma on patients on mechanical ventilation. Web pulmonary barotrauma was the most common complication of mechanical ventilation, but modern strategies have.. Barotrauma In Mechanical Ventilation.
From slidesplayer.org
Mechanical Ventilation ppt download Barotrauma In Mechanical Ventilation Web there is no single strategy to prevent pulmonary barotrauma on patients on mechanical ventilation. Web pulmonary barotrauma is a complication of mechanical ventilation and has correlations with increased morbidity. Web pulmonary barotrauma was the most common complication of mechanical ventilation, but modern strategies have. Web pulmonary barotrauma can complicate mechanical ventilation. It is most often due to alveolar rupture. Barotrauma In Mechanical Ventilation.
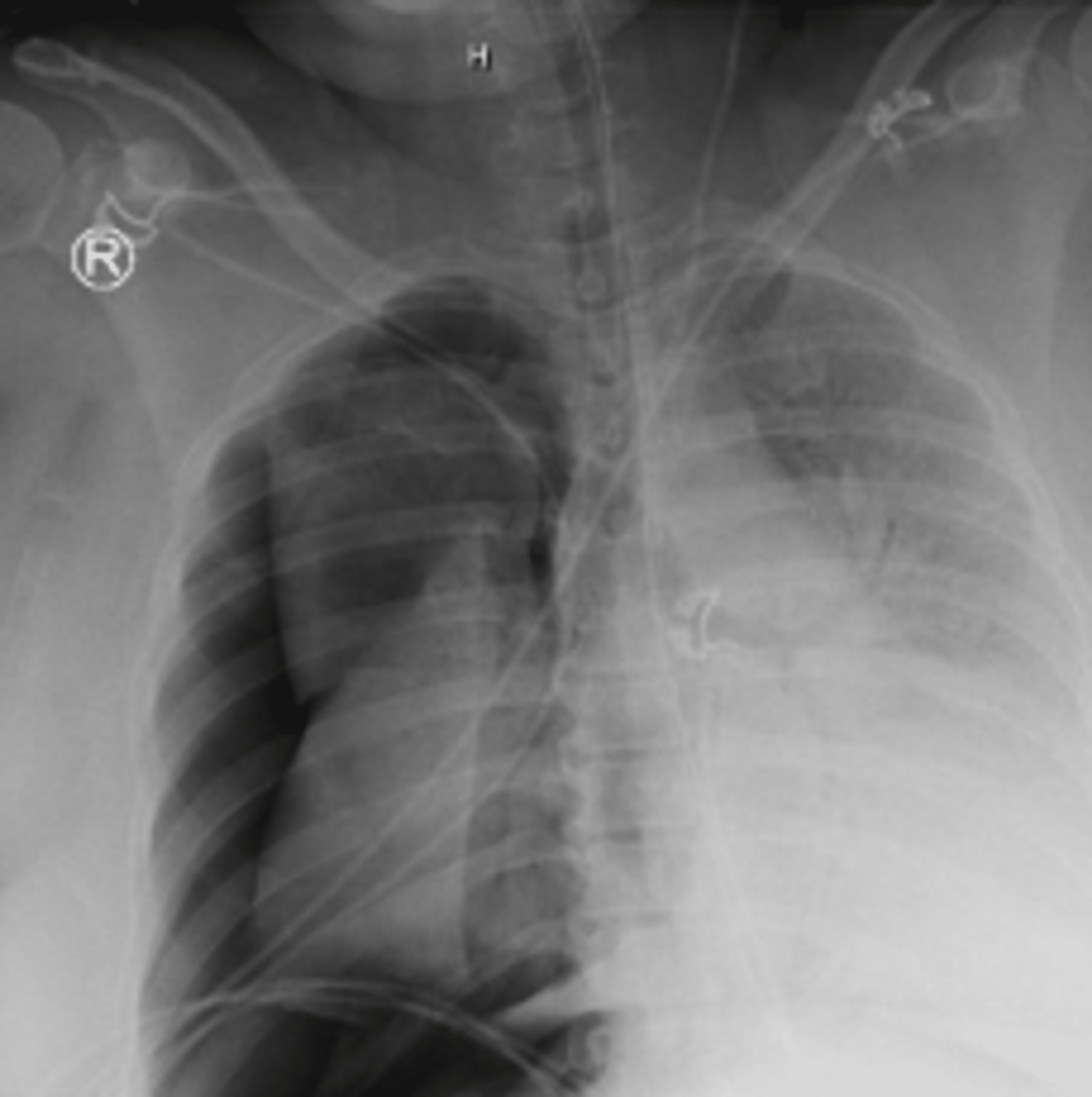
From nccommons.org
Barotrauma due to mechanical ventilation (Radiopaedia 2807928336 Axial Barotrauma In Mechanical Ventilation Web there is no single strategy to prevent pulmonary barotrauma on patients on mechanical ventilation. Web pulmonary barotrauma can complicate mechanical ventilation. It is most often due to alveolar rupture resulting in. Web pulmonary barotrauma is a complication of mechanical ventilation and has correlations with increased morbidity. The most efficient mechanism that. Web pulmonary barotrauma was the most common complication. Barotrauma In Mechanical Ventilation.
From nccommons.org
Barotrauma due to mechanical ventilation (Radiopaedia 2807928336 Axial Barotrauma In Mechanical Ventilation Web pulmonary barotrauma is a complication of mechanical ventilation and has correlations with increased morbidity. The most efficient mechanism that. It is most often due to alveolar rupture resulting in. Web pulmonary barotrauma can complicate mechanical ventilation. Web pulmonary barotrauma was the most common complication of mechanical ventilation, but modern strategies have. Web there is no single strategy to prevent. Barotrauma In Mechanical Ventilation.
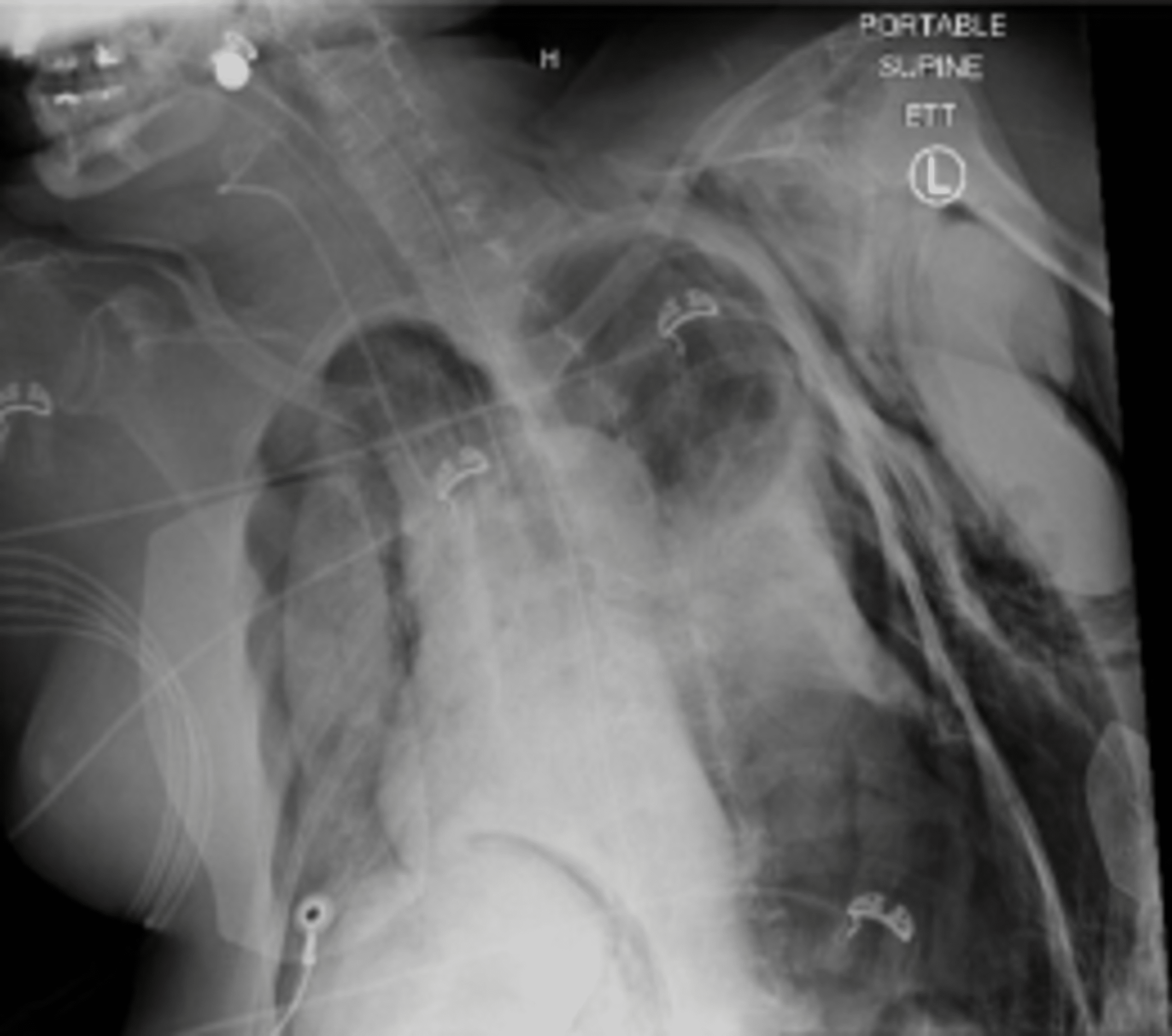
From radiopaedia.org
Barotrauma due to mechanical ventilation Image Barotrauma In Mechanical Ventilation Web pulmonary barotrauma is a complication of mechanical ventilation and has correlations with increased morbidity. Web there is no single strategy to prevent pulmonary barotrauma on patients on mechanical ventilation. It is most often due to alveolar rupture resulting in. Web pulmonary barotrauma was the most common complication of mechanical ventilation, but modern strategies have. The most efficient mechanism that.. Barotrauma In Mechanical Ventilation.
From www.semanticscholar.org
Figure 18 from Ventilatorinduced lung injury from barotrauma to Barotrauma In Mechanical Ventilation Web pulmonary barotrauma can complicate mechanical ventilation. Web there is no single strategy to prevent pulmonary barotrauma on patients on mechanical ventilation. Web pulmonary barotrauma is a complication of mechanical ventilation and has correlations with increased morbidity. It is most often due to alveolar rupture resulting in. The most efficient mechanism that. Web pulmonary barotrauma was the most common complication. Barotrauma In Mechanical Ventilation.
From www.slideserve.com
PPT Mechanical Ventilation PROBLEMS PowerPoint Presentation ID263730 Barotrauma In Mechanical Ventilation Web pulmonary barotrauma was the most common complication of mechanical ventilation, but modern strategies have. Web pulmonary barotrauma is a complication of mechanical ventilation and has correlations with increased morbidity. Web there is no single strategy to prevent pulmonary barotrauma on patients on mechanical ventilation. Web pulmonary barotrauma can complicate mechanical ventilation. It is most often due to alveolar rupture. Barotrauma In Mechanical Ventilation.
From www.cureus.com
Cureus Incidence of Barotrauma in COVID19 Patients Requiring Barotrauma In Mechanical Ventilation The most efficient mechanism that. Web there is no single strategy to prevent pulmonary barotrauma on patients on mechanical ventilation. Web pulmonary barotrauma is a complication of mechanical ventilation and has correlations with increased morbidity. Web pulmonary barotrauma can complicate mechanical ventilation. It is most often due to alveolar rupture resulting in. Web pulmonary barotrauma was the most common complication. Barotrauma In Mechanical Ventilation.
From www.cureus.com
Cureus Incidence of Barotrauma in COVID19 Patients Requiring Barotrauma In Mechanical Ventilation Web there is no single strategy to prevent pulmonary barotrauma on patients on mechanical ventilation. Web pulmonary barotrauma can complicate mechanical ventilation. Web pulmonary barotrauma was the most common complication of mechanical ventilation, but modern strategies have. Web pulmonary barotrauma is a complication of mechanical ventilation and has correlations with increased morbidity. It is most often due to alveolar rupture. Barotrauma In Mechanical Ventilation.
From journals.sagepub.com
Incidence of Barotrauma in Patients With COVID19 Pneumonia During Barotrauma In Mechanical Ventilation Web pulmonary barotrauma is a complication of mechanical ventilation and has correlations with increased morbidity. It is most often due to alveolar rupture resulting in. Web pulmonary barotrauma can complicate mechanical ventilation. The most efficient mechanism that. Web pulmonary barotrauma was the most common complication of mechanical ventilation, but modern strategies have. Web there is no single strategy to prevent. Barotrauma In Mechanical Ventilation.